DrAid™ - AI for Radiology

AI Healthcare AI Copilot
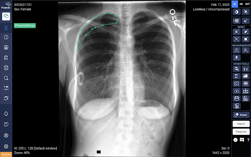
DrAid™ is an AI doctor assistant software by VinBrain.
简介 DrAid™ is an AI doctor assistant software by VinBrain.

Features

  • Browser Extension